DISEASE DETAILS 疾患一覧
手首・手指の痛み
手根管症候群
手根管症候群(CTS:carpal tunnel syndrome)は、手関節部に存在する手根管内で正中神経が圧迫されることによって生じる、手の末梢神経障害です。
末梢神経が骨や靭帯によって形成されるトンネルを通過する部位で圧迫を受けると、その部位に限局した神経障害が発生します。このような病態を絞扼性神経障害と総称しますが、手根管症候群はその中でも最も頻度の高い疾患です。
手根管は、手根骨と屈筋支帯によって形成されるトンネル状の構造であり、内部を屈筋腱と正中神経が通過しています。何らかの原因によってこの狭小な空間内で正中神経が圧迫されると、手根管症候群を発症します。
発症は女性では更年期にあたる50歳代と周産期に発症のピークがあることが知られており、女性ホルモンの関与が示唆されています。

手根管症候群の症状
手根管症候群の主な症状には、夜間に特に強くなる痛み、正中神経支配領域(母指・示指・中指・環指の橈側)におけるしびれや感覚低下、そして母指球筋の萎縮があります。
初期症状としては夜間痛が中心であり、肩から指先にかけての強い痛みを訴えることが多くみられます。この痛みは手を振ることで軽減される特徴があり、「フリックサイン」と呼ばれています。症状が進行すると、しびれや感覚障害が昼間にも持続するようになります。さらに重症化すると、母指球筋の萎縮や母指対立運動の障害が現れます。
環指は橈側を正中神経が、尺側を尺骨神経が支配しているため、環指の感覚が橈側と尺側で異なる「リングフィンガースプリッティング」が認められることがあります。ただし、必ずしも全例に出現するわけではありません。
母指対立運動が障害されると、ボタンのかけ外しといった細かな動作が困難になります。母指と示指で円を作らせると完全な円が形成できず楕円になる所見を「パーフェクトOサイン:Perfect O sign」と呼びます。なお、前骨間神経麻痺では同様の動作で涙滴状(ティアドロップ:Tear drop)になることがあり鑑別が必要です。
手根管症候群の原因
手根管症候群は、発症原因により特発性と二次性に大別されます。全体の約80%を特発性が占め、多くの場合は両手に発生します。病態としては、手根管内圧の上昇によって正中神経が障害を受けることが主な機序と考えられており、元来狭い手根管において手関節の屈曲・伸展による物理的負荷が繰り返されることで発症します。特発性の主な危険因子としては、加齢、手の過度な使用、女性であることが挙げられます。女性の発症率は男性の3.8倍に上り、更年期にあたる50歳代に発症のピークが認められるほか、周産期にも多く発症することから、女性ホルモンの関与が考えられています。
二次性の原因としては、骨折やキーンベック病などの骨性要因、手根管内腫瘤による占拠性病変、そして関節リウマチ・透析・糖尿病・アミロイドーシスなどの全身性疾患に伴う屈筋腱腱鞘滑膜炎が挙げられます。手根管内腫瘤は手根管症候群の1.8〜5%に存在し、ガングリオンや腫瘍状石灰沈着症の頻度が高く、そのほかにも腱鞘線維腫、リウマチ結節、脂肪腫、痛風結節なども報告されています。また、遺伝性圧脆弱性ニューロパチーや糖尿病性多発ニューロパチーなど神経側の脆弱性、および妊娠・浮腫・甲状腺疾患なども発症の誘因となります。

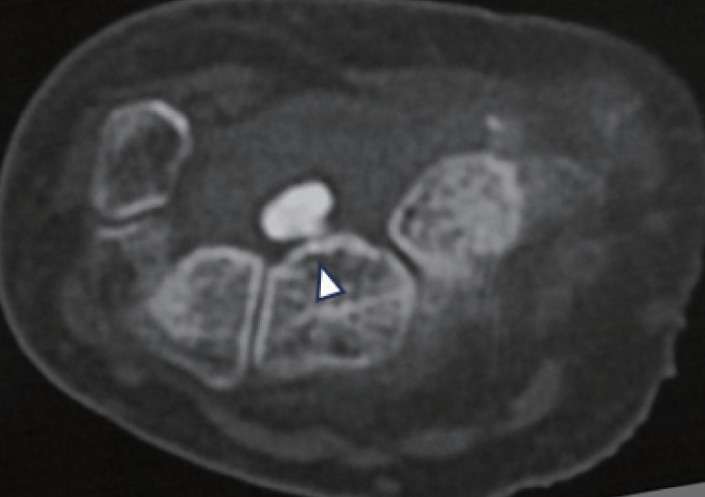
手根管症候群の検査
手根管症候群の診断には、身体診察に加えて複数の検査が用いられます。
誘発テストとして、ファレンテストとティネル様徴候があります。ファレンテストは手関節を最大1分間掌屈させた際に症状が誘発されるテストです。ティネル様徴候は手関節掌側の正中神経に沿って叩打することで正中神経支配領域に放散痛が誘発されるテストです。感度23〜60%、特異度64〜87%と報告されています。
画像検査としては、まず手関節の単純X線撮影を正面・側面・手根管の3方向で行います。橈骨骨折後の変形治癒、橈骨や手根骨の変形性関節症、手根管内の石灰化といった病変を評価することができます。また、超音波検査も補助診断として有用であり、手根管症候群では手関節手掌部における正中神経の横断面積が増大し、10mm²以上を異常の基準としています。
鑑別診断が必要な場合には、電気生理学的検査を補助診断として行います。神経伝導速度検査では運動神経終末潜時の延長(正常値4.5ms以下)や感覚神経伝導速度の低下(正常値45m/s以上)が認められ、針筋電図では母指球筋に脱神経所見が検出されることがあります。

手根管症候群の保存治療
手根管症候群の保存的治療の主な目的は、局所を安静に保ち、滑膜炎を抑制することで神経の圧迫症状を和らげることです。周産期など一時的な滑膜炎が原因の場合は、保存的治療で十分な効果が期待できます。
発症後おおむね3か月以内で知覚障害が軽度の場合は、保存的治療を優先します。治療の柱は、局所の安静、神経障害性疼痛治療薬の投与、および手根管内へのステロイド注射であり、症状に応じてこれらを単独または併用して行います。
局所の安静としては、手の酷使を避けるよう指導するとともに、手関節固定装具を使用します。神経障害性疼痛治療薬としては、タリージェ(ミロガバリンベシル酸塩)が有効です。手根管内へのステロイド注射は、キシロカイン1%注(リドカイン塩酸塩)3mLとケナコルトーA注(トリアムシノロンアセトニド)10mgを混合して注入します。正中神経損傷を避けるため約25Gの細い針を使用し、刺入部位は近位手首皮線よりやや近位で長掌筋腱の尺側から針を入れます。注射の効果は少なくとも6週間持続し、神経の炎症が改善すれば手術を回避できる可能性もあります。ただし、神経穿刺のリスクを伴うため、専門家へのコンサルトが望ましい処置です。
手根管症候群の手術治療
保存療法が奏効しない場合や、母指球筋の萎縮が認められる重症例では、外科的治療を検討します。手術は屈筋支帯(横手根靭帯)を切離して神経の圧迫を解除する手根管開放術が基本であり、長期的な症状改善に有効です。術式としては、目視で神経を確認しながら行う直視下手根管開放術と、手根管内に関節鏡を挿入して行う鏡視下手根管開放術があります。さらに、進行例で母指球筋の萎縮が著明であり母指対立運動に障害をきたしている場合には、腱移行による母指対立再建術を検討します。なお、進行例ほど術後の回復が不良となる傾向があるため、保存的治療が奏効しない場合には早期手術を検討します。
参考文献)
・岩本卓士. 手根管症候群. 日本医事新報. 2025; (5255): 50-51.
・大野義幸, 山本恭介, 楊中仁. 手根管内腫瘤による手根管症候群の診断と治療. 形成外科. 2025; 68(9): 993-1006.
記事監修:曽我部 祐輔 医師 (三国ゆう整形外科 院長/日本整形外科学会認定 整形外科専門医)
「公開日:2022年8月27日」「最終更新日:2026年2月23日」

先生から一言
手根管症候群は手のしびれをきたす疾患です、保存治療で改善することもありますが、良くならない場合は手術を検討します。特に母指のツマミ動作、対立運動に制限があるときは手術を積極的に検討します。