DISEASE DETAILS 疾患一覧
けが(外傷)
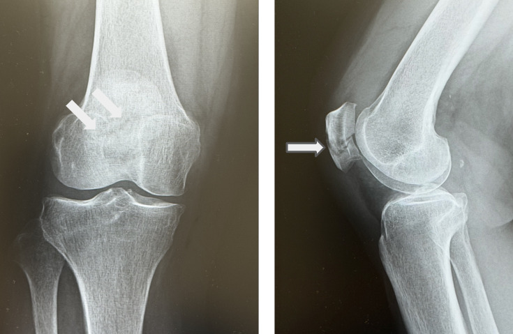
膝蓋骨骨折
膝蓋骨骨折は、転倒時に膝を強打することで発生します。膝蓋骨は荷重骨ではないため骨折していても歩行可能な場合もあり注意が必要です。膝蓋骨には大腿四頭筋および膝蓋腱が付着しており、膝の伸展機構として重要で、膝を屈曲すると転位が増大します。また、大腿骨との間に膝蓋大腿関節を形成しているため、関節内骨折として正確な整復・治療が必要です。
当院ではレントゲンによる診断、ギプス固定・松葉杖免荷などによる保存治療が可能です。転位が大きく手術加療が必要な場合は提携している地域基幹病院へ速やかにご紹介いたします。

膝蓋骨骨折の症状
膝蓋骨骨折(膝のお皿の骨折)でみられる症状としては、次のようなものがあります。
- 膝のお皿の周囲の痛み
- あざ・内出血
- 腫れ
- 膝を曲げ伸ばしできない、または脚をまっすぐ伸ばして保てない
- 体重をかけられない/立てない/歩けない
- 膝の変形(重症例で目立つことがあり)

膝蓋骨骨折の原因
膝蓋骨骨折は、膝に強い力が加わって起こることが多い骨折です。代表的なのは、前のめりに転んで膝を地面に直接つくケースで、このとき膝蓋骨が地面と太ももの骨(大腿骨)に挟まれるように力がかかり、骨折につながることがあります。強打した場合は、膝の前側に打ち身(あざ)や腫れ、すり傷がみられることが多く、診察の重要な手がかりになります。
ほかにも、スポーツ中にボールやバットなどが膝に当たる外傷や、交通事故で膝をダッシュボードに強くぶつけることでも起こります。また頻度は高くありませんが、ジャンプや踏ん張り動作などで太ももの筋肉(大腿四頭筋)が急に強く縮み、その牽引力で膝蓋骨が引っ張られて骨折する場合もあります。
膝蓋骨骨折の検査(身体診察・画像)
身体診察では、膝前面の擦過傷・皮下出血・腫脹といった所見が重要です。膝蓋骨に限局した圧痛の有無も確認します。骨折では出血を伴いやすく、膝関節内血腫から関節水腫を来すことがあるため、膝蓋骨上方の膝蓋上嚢の腫れを観察し、必要に応じてバルジサインなどで水腫の有無を判断します。
画像検査はX線3方向(正面・側面・スカイライン)が基本です。とくにスカイライン像は、縦骨折では側面像だけでは判断できないことがあるため、膝蓋骨骨折を疑う場合に有効です。骨折型の目安としては、横骨折が約半数、縦骨折と粉砕骨折がそれぞれ約4分の1とされます。
X線で明らかな骨折線を認めない場合でも、骨挫傷や不顕性骨折が疑われるときは、MRIで診断に至ることがありますが、MRIまで必要になることは稀です。

膝蓋骨骨折の治療
保存療法(主に縦骨折・転位が小さい例)
膝蓋骨骨折の治療は、骨折型(縦骨折・横骨折・粉砕骨折)と、特に関節面の転位量を軸に保存療法か手術療法かを選択します。一般に、関節面の転位が小さい場合(目安として2 mm未満)は保存療法が選択されやすく、転位が大きい場合(2 mm以上)や横骨折・粉砕骨折では手術となることが多いです。
保存療法では、膝蓋骨に付着する大腿四頭筋と膝蓋腱の牽引で屈曲時に転位が増悪しやすい点を踏まえ、膝伸展位での固定が基本になります。具体的には膝伸展装具やニーブレースなどで伸展位を保持し、治癒を促します。この治療で最も重要なのは、膝を曲げる動作や装具の不適切な着脱によって転位が進むリスクがあるため、装具の着脱方法を含めた生活指導を丁寧に行うことです。救急など初期対応の場面では、大腿から下腿まで背側からシーネで固定し、膝が曲がらない状態で安定しているなら、状況に応じて荷重歩行を許容しつつ、翌日に整形外科へ紹介するといった運用も行われます。
手術療法(主に横骨折・粉砕骨折、転位が大きい例)
手術療法は、横骨折や粉砕骨折、あるいは関節面転位が大きい症例で選択されることが多く、テンションバンドワイヤリングやスクリュー固定などで内固定を行います。術後は膝関節の拘縮を防ぐため、固定の安定性を前提に早期から運動療法(可動域訓練)を進めます。手術は、特に下極骨片を確実に固定できるかが成績に影響しやすく、骨片の大きさや粉砕の程度を踏まえた固定戦略が重要です。なお、治療方針や固定性が確保できていることを前提に、術後すぐから荷重歩行を開始することもあります。

膝蓋骨骨折後の合併症・後遺症のリスク
膝は体重を支える複雑な関節のため、治療後もしばらく痛みや可動域低下が残ることがあります。膝の外傷後には、外傷後関節症(外傷を契機に軟骨がすり減る変形性関節症)が起こることもあります。ギプスやシーネ・装具で数週間〜数か月固定すると筋萎縮が生じやすく、理学療法(手術後は必要に応じて作業療法)で筋力・柔軟性・可動域を回復します。
回復は一般に3〜6か月が目安ですが、年齢や損傷の程度で前後します。初期は階段、しゃがみ、正座・膝立ちなど負担の大きい動作を控えつつ、固定中でも歩行できる場合が多く、運動・荷重は段階に応じて調整します。痛みが遷延する、関節症が高度な場合は再評価し、追加手術(人工膝関節など)を検討します。
参考文献)
・冨士川恭輔,鳥巣岳彦編.骨折・脱臼.改訂5版,東京,南山堂,2023.
・永井洋輔. 脛骨近位端骨折. 整形外科看護 2023; 28(8): 765-766.
・海透優太. 第13回 前のめりに転んで膝をつきました…… (1) [膝蓋骨骨折 (横骨折)]. 日本医事新報 2023; (5190): 34-35.